Rutin histopatolojik incelemeler, patoloji laboratuvarına gelen tüm biyopsilere yapılması zorunlu işlemleri içerir.

Genellikle şu 6 aşamadan oluşur;
- Kayıt
- Makroskopi
- Takip-Kesit-boyama
- Mikroskobik inceleme
- Raporlama
- Arşivleme
Gelen biyopsiler öncelikli olarak kayıt altına alınır. Patoloji laboratuvarlarında kayıt aşaması oldukça önemli, dikkat gerektiren aşamalardan bir tanesidir. Laboratuvarımızda kayıt aşamalarının tamamı kalite ve akreditasyon sürecine uygun olarak gerçekleştirilmektedir. Kayıt aşamasında gelen örneğe ait olmak özere patoloji numarası verilmektedir. Bu numara gelen örneğin laboratuvardaki işlemleri sırasında ve arşivlenmesinde kullanılan numarasıdır. Her laboratuvarın kendine özgü numaralandırma sistemi olmakla birlikte, genellikle her yılın başında ilk gelen numune 1, olmak üzere numaralandırılır (örn. 1-2024).
Laboratuvarda gelen örnekler için yapılan 2. aşama makroskopi olarak tanımlanan aşamadır. Gelen örneğin 4 duyu organı (tat duyusu hariç) kullanılarak muayene edilmesi ve mikroskobik inceleme yapılması gerekli yerlerden örneklerin alınmasını içerir. Laboratuvarımız da uluslararası kabul görmüş bilimsel kaynaklar referans alınarak, sürekli eğitim ve kendini güncellemek sureti ile patoloji hizmetinin en önemli aşamalarından biri olan makroskobik muayene yapılmaktadır.
Makroskobik muayene sonucu elde edilen örnekler, bu aşamadan sonra, takip, döküm, kesit ve boyama işlemlerine tabii tutulur. Bu aşamalar konusunda eğitimli ve tecrübeli patoloji teknikerleri tarafından yapılmaktadır. İdeal bir mikroskobik inceleme için tüm bu aşamaların en uygun şekilde gerçekleşmesi gerekir. Laboratuvarımızda, güncel teknolojik ekipmanların kullanılmasına, personelin tecrübe eğitiminin sürekli olarak iyileştirilmesine yönelik sürekli olarak çalışmalar yapılmaktadır. Tüm bu aşamalarda kalite ve akreditasyon standartlarına uygunluğa azami özen gösterilir.
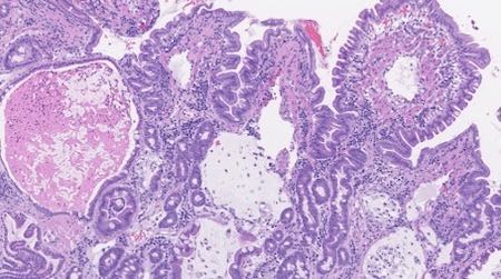
Mikroskobik incelemeye hazır hale gelen örnekler patologlar tarafından mikroskop kullanılmak sureti ile incelemeye alınır. Mikroskobik inceleme insan vücuduna ait dokunun mikroskobik muayenesi demektir. Laboratuvarımızda akademik tecrübeye sahip, bilimdeki güncel gelişmeleri takip eden, etik kurallara saygılı, insan sağlığının geliştirilmesine özen gösteren patologlar tarafından bu aşama gerçekleştirilir. Raporlama aşaması, mikroskobik muayeneden elde edilen verilerin dökümante edilmesi işlemidir. Bu aşama, güncel bilimsel verilerin kullanılması şarttır. Yapılan muayene sonucu yazılacak rapor hastanın tanısına, tedavisine ve takibine hitap edilecek şekilde düzenlenmelidir. Laboratuvarımızda uluslararası kabul görmüş bilimsel kaynaklar kullanılmak sureti ile sürekli güncelleyerek rapor formatları oluşturulmaktadır.
İncelemesi tamamlanan ve rapor edilen hastaya ait örnekler, Sağlık Bakanlığı tarafından yayınlanan Tıbbi Laboratuvar Yönetmeliği’ne göre belirlenen süre boyunca laboratuvar arşivinde muhafaza edilir. Örnekler arşivlenirken patoloji numaralarına göre sıralanır. Arşivleme istenildiği takdirde tekrar incelenebilme ya da konsültasyon imkanı verir.
Tel: +90(216) 469 14 68
Gsm:+90(535) 977 49 13
E-mail: info@marmarapatoloji.com